Lab Fairytale´s Bedtime Story "Daisy"

13 years and 5 months old

Photomac (Maryland USA 2015) Jeg har haft fornøjelsen af, at møde Daisys far "Scrubs" og ejer Deloris Van Saint

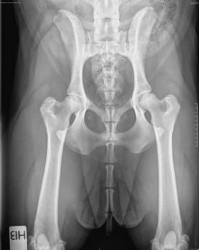
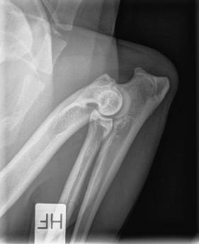
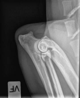
HD A/B

AD Højre 0

AD Venstre 0

Tæve

 16/4/ 2010 - 02/10/2023

Dkk reg. nr.: 11112/2010

HD : B (A/B) 

AD: 0/0

Øjne/Eyes :U/A 02.10.2012 Eyes clear,

PRA: Fri via forældre / Clear 

EIC : N/N Normal / Clear

CNM: N/N Nomal / Clear

HNPK: N/N Normal/Clear

SD2 : N/N Normal/Clear

Sort/Black: EeBB

bærer gult - ikke brunt /Carries yellow - not chocolate

Indavlskofficient : 0,195%

Stamtavle/Pedigree

 

 

 

USCH 
Paradocs Delians Scrubbing In  
AKC SR33388603

USCH 
Wiscoy Paradocs Ben Franklin  
AKC SR18616701
USCH 
Paradocs Tabatha's Caillou  
AKC SR07614402

Wiscoys Goodnight Kiss  
AKC SR00500601

Paradocs Tabatha's Lily  
AKC SR11270402
USCH 
Dickendall Davaron Gable  
AKC SN73023501

Tabatha's Morning Cream  
AKC SN65156202

 

 

  WJW08 DKV2010NVV2016
Lab Treasure's A Fairytale  
DK04272/2007

 


Tweedledum Finn For Fun  
FIN 42011/01
FICH EECH INTCH RUCH 
Follies Storm Petrel  
FIN 32003/98

Tweedledum Curtain Call  
FIN 24029/98

Lab Treasure's Raspberry  
17265/2004
SECH FICH DKCH NORDCH INTCH 
Trendmaker's Mugwump  
S 23393/95
SECH DKCH NOCH NORDCH DEVDHCH 
Lab Treasure's Diva  
14638/2001

 

Bedste udstillings resultat:

Danmark/ Denmark:

Reserve Cc from working class and 3 best bitch

 

Tyskland/Germany:

 

Junior Cc

3 x 2. Winner with res Junior Cc

BIM

 

Meritter  /Work :

 

Brugsprøve/Working Trial:  Bestået / passed

Kvalifikationsprøve / Qualifying Trial: Bestået/passed

Markprøve B / Field Trial B : 2 x 2 præmie begynder klasse / 2x 2. prize beginners Class

 

Working test begynderklasse C/Workingtest C unoff novice class: Bestået/Passed

International FCI working Certificate