Sisu er et finsk udtryk, der samler egenskaber, man skal bruge for at overleve i et barsk klima: råstyrke, vilje, udholdenhed og evnen til at tænke klart i pressede situationer. Sisu er afledt af sisus, som betyder noget indre eller indvendigt. Udtrykket fik international udbredelse i forbindelse med Vinterkrigen 

Sisu is a Finnish concept and cultural construct that is described through a combination of various English terms including stoic determination, grit, bravery, resilience, and hardiness and is held by Finns themselves to express their national character.

 

Follies Joline

"Sisu"

Tak Birka og Therese, for to fantastiske ture til Finland

8 weeks

7 weeks

Tryk på billederne for større version

 

 

Results 

Denmark :

 

DKK Vejen BOB Baby

DKK Billund BOB Puppy

DRK Hasmark 1. BOB Puppy

DRK Hasmark 2. BOS Puppy

2022 DKK INT SHOW Vejen 1 Vinner Open Class, CAC, CACIB

Qrufts qualified

Norway:

NRK Kongsvinger BOB Junior EXCL.CK Cac BTK 2

NRK Skarnes BOB Junior EXCL.CK Res  BIS 2 Junior CAC

NRK Lillehammer Brugsklasse 1. Excellent CK 2.BTK CAC

Prøver/Field

1 præmie begynderklasse markprøve/1 Price in Field Trial Beginners Class

 

Forældre/Parents:

Qubbling's Part Time Lover

 

"Max"

Follies April Flower

 

"Sole"

Tæve/Female

FI16128/2018 - DKK05809/2018

Født/Born: 16.01.2018

Sort: EeBb, Black carrying yellow and chocolate

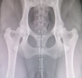
HD : A/A

AD : 0/0

PRA : N/N Clear

EIC : N/EIC Carrier

Langhårdsgen : L/L Clear

HNPK : N/N Normal/ Clear via forældre

CMN : N/N Normal/ Clear via forældre

Indavlskofficient : 0,00 %

 

"Sisu" er samejet med Bente Svenningsen, hun bor hovedparten af tiden hos Bente i Norge

Stamtavle/Pedigree

 

 

 

 

 

 

Qubbling´s Part Time Lover

FI1382/15

 

 

 

 

USCH

Saddelhill Late Knight Scramble

AKCSRS5452701

USCH

Shalane Fly By Knight

AKCSR27438110

USCH

Sharlane Don´t be Late

AKCSR13891803

 

 

Qublling´s Salt´N´Pepa

FI50274/12

FICH

Naiken Xavier

FI34271/09

Countrylovers Pretty Woman

FIN50878/07

 

 

 

 

 

 

Follies April Flower

FI26497/15

 

 

 

RU CH RU GR CH JCH RKFV

Stenveyz Mango Mango

FI43368/14

FRCH LU JCH LUCH

Thanks A lot de la Legende de la Loutre

Lof146511/18935

 

C.I.B FIN CH EE CH LV CH LT SH RU CH RKFV

Follies Moulin Rouge

FIN41423/05

 

Follies Oprah

FI36406/11

USCH PLCH EUV10

Arlon Hyspire Bohemian Ink

AKCSR42188602

FICH Hew10

Follies Daphne

FIn15103/08

 

 

 

First photo 8 weeks old! Then one photo every week until 4 months of age :-)

Sisu 11 weeks